さいたま博通り動物病院

犬と猫の循環器クリニック
循環器科
さいたま博通り動物病院は獣医循環器学会認定医のいるクリニックです
循環器科は、「心臓」と「血管」の病気を専門に扱う診療科です。
犬と猫の心臓病は、高齢になるほど発生率が高くなり、
三大死因の1つに数えられています。
心臓の役割 ~全身に血液を循環させるW構造のポンプ
心臓は筋肉でできた袋状の臓器です。内部は左右に仕切られ、左右それぞれが2つの部屋(心房と心室)を持っています。一定のリズムで収縮と拡張(弛緩)を繰り返し、静脈や動脈と呼ばれる血管に血液を循環させています。
右心系(図では向かって左側)は、全身から大静脈を介して戻った、二酸化炭素の多い血液を肺に送り出す働きをしており、これを“肺循環”と呼びます。
左心系は、肺静脈から送られる、酸素を多く含む血液を大動脈から全身へ供給する働きをしており、これを“大循環(体循環)”と呼びます。
心臓は、右心系と左心系のポンプが協調し、脳の指令から独立して動く能力(自動能)の下で全身の血液循環を司る、精巧でダイナミックなメカニズムを持つ臓器なのです。
心臓の病気 ~二つのタイプと発生傾向
心臓病は、生まれつきの先天性と老化による後天性に分類されますが、動物病院で遭遇しやすい心臓病は2つのタイプがあります。通過した血液が逆流しないように機能する“弁”の機能低下などが原因で起こる「弁膜症」と、心臓を形作る“心筋”に異常が起こる「心筋症」です。
弁膜症は、小型犬や一部の中型犬に多く見られる心臓病です。
弁が加齢により変形(変性)し、逆流が起こり、血液の流れも一定ではなくなります。肺や全身への血液循環が低下し、心臓に負担が掛かることで、症状が徐々に表面化します。
心筋症は、猫と大型犬に多く見られる心臓病です。
心筋が厚くなって血液が溜まる空間が狭くなる「肥大型」、心筋の動きに制限がかかる「拘束型」、心臓が大きくなって心筋が薄く伸び、収縮力が失われる「拡張型」の3つが有名です。
心筋症は、いずれも心臓のポンプ機能が損なわれるため、命の危険に直結する心不全を引き起こす原因となります。
心臓病の症状 ~知っておきたい三大症状
心臓の病気と聞いてその典型的な症状をすぐにイメージできる飼い主様は少ないかもしれません。呼吸困難や失神といった症状だけでなく、むしろそれ以上にふだん目にする代表的な症状があります。心臓病は老化と関係が深いため、高齢になるほど罹患のリスクは高まっていきますが、若く元気なうちから代表的な症状について知識を持っておけば、早期発見・治療が可能になります。
  • 乾いた
    心臓で気管が圧迫されることにより、喉の奥に詰まっているものを“吐く”ような乾いた音の咳をします。夜や明け方の時間帯が多いです。
  • 運動がる
    なんとなく元気がなくだるそうな様子で、散歩も室内での遊びも避けたがるようになります。高齢だからと見過ごしてしまいがちなので注意が必要です。
  • 数秒の失神
    心臓から脳へ送られる血液量が少なくなると、酸素不足で失神が起きます。数秒程度で元の状態に戻ることが多く、痙攣を伴うケースもあります。
犬と猫の心臓病
心臓病は内科での完治は不可能な病気です。
そのため、早期発見、早期治療がとても重要です。
早期であれば病状の進行を遅らせたり、症状を和らげたりすることができます。
心臓は生命維持装置の要であるため、
表面上悪く見えないように取り繕う“代償”機能により、
初期の頃は目に見える形での症状はほぼありません。
いわゆる心臓病の症状が現れた時には、
心不全がかなり進行しているケースがほとんどです。
「心不全」とは?
心臓が弁膜症や心筋症などの病気に罹り、正常なポンプ機能を果たせなくなった状態を指します(病名ではありません)。心不全には、肺水腫などの急性心不全と、徐々に進行していく慢性心不全があります。慢性心不全は3段階で進行していきます。
こんな兆候に注意!
心臓病のサインは前章で掲げた三大症状のほかにもこんな形で現れることがあります。体調の変化や血の巡りの悪さに起因しています。7歳を過ぎたら特に注意してあげてください。少しでも気になったら、すぐに受診してください。
「食べる」が変わる
それまで食べていたごはんを食べなくなる。体重も落ちる。あるいは突然偏食になり、新しいものだけを食べたがったり、同じものばかり食べたがったりする。
「見た目」が老ける
毛づやがなくなり、抜け毛が増え、皮膚のトラブルも起きがちになる。筋肉が落ちてやつれたような不健康な印象になる。同じ年頃の子と比べて老けて見える。
治療薬について
心不全の治療薬には、心臓の働きを高める「強心薬」と、血管を広げることで血流を促進させる「血管拡張薬」、水分の排泄を促す「利尿剤」があります。
強心薬
作用
  • 心筋の収縮力を高める
  • 逆流を減少させて、心臓の負担を減らす
血管拡張薬
作用
  • 血管を広げ、血圧を下げる
  • 血液を流れやすくすることで心臓の負担を減らす
利尿剤
作用
  • 血液中の水分を減少させ、心臓の負担を減らす
投薬治療により、軽・中度の場合は進行を遅らせ、重度の場合は症状を緩和させることができます。心筋細胞は一度ダメージを受けると再生できませんので、お薬とは一生のつきあいになりますが、食生活・運動・環境に十分な配慮し、症状をコントロールしていけば、ご家族との暮らしの質を保ちながら寿命を最大限に全うすることが可能です。
心機能検査
心臓の健康状態を知る上で比較的わかりやすいサインとして“心雑音”があります。
健診時の聴診で発見される場合が多いのですが、心臓の病気のほとんどは心雑音を伴うため、
病気の種類や程度を調べるためには心臓の機能を詳しく調べる特別な検査が不可欠です。
*心臓の検査は特殊な検査となり、検査・解析に時間を要するため、事前予約制とさせていただいております。
いずれの検査も基本的に全身麻酔の必要はありません。
検査料金のごあんない
●循環器検査一覧
血液検査
8,000円~
X線写真(レントゲン)撮影
6,000円~
血圧測定
1,000円~
心電図検査
5,000円
心臓超音波検査
他院かかりつけの方※:初回検査20,000円、2回目以降10,000円
当院の患者様:初回検査15,000円、2回目以降10,000円  
※他院様かかりつけの飼い主様へ
事前のお電話でのご予約が必要です。かかりつけの病院様から発行された御紹介状などのご持参、もしくは直近の検査結果(血液検査、X線、心電図など)や服用中のお薬をご持参頂ける場合、初回の超音波検査を20,000円から15,000円に割引き致します。
心電図検査
心臓には、一定のリズムで収縮と弛緩を繰り返すことができるよう、電気信号による刺激を自身で作り出す回路が備わっています。この電気信号を生み出しているのは“天然のペースメーカー”といわれる洞房結節(どうぼうけっせつ)という部分で、ここで発せられた刺激は回路を通じて左右の心房内に伝わり、筋肉を収縮させます。次の中継点となる房室結節(ぼうしつけっせつ)でも同様に、受け取った電気信号をさらに左右の心室に送り出す働きをしています。
心臓は電気信号の刺激により、心房と心室が順番に収縮することで自律的かつ恒久的なポンプ運動を繰り返しています。
この電気信号による興奮を体表の電極で検出して、波形として描き出したものが「心電図」です。
心電図の波形は3つの山で構成され、正常とされる波形にあてはまるかどうかを判断した後、異常が見られた場合は疑っている病気と心電図の波形が合致するかを精査していくことになります。
心電図検査は不整脈の有無や種類を判断していく上で不可欠な検査です。
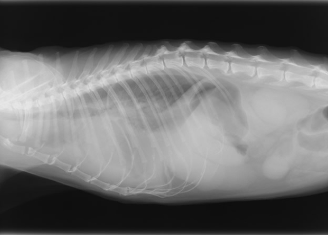
胸部レントゲン検査
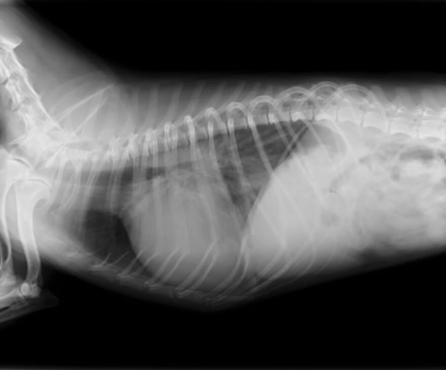
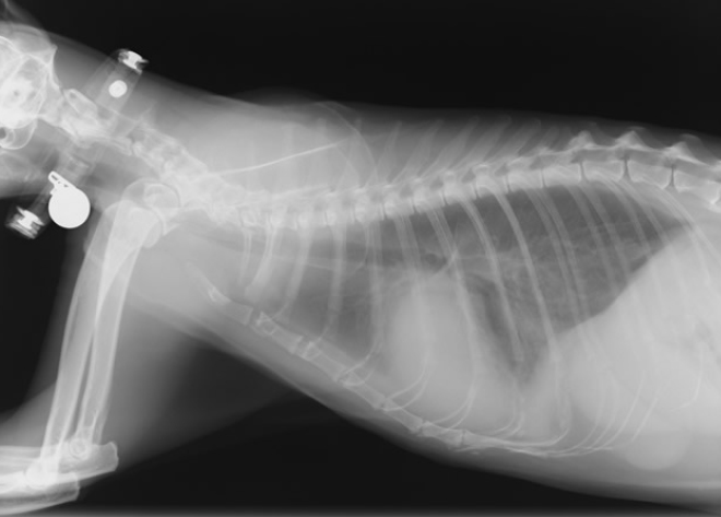
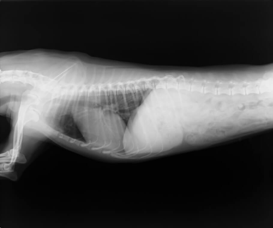
X線により心拡大の有無、気管や肺の異常・病変の有無、肝臓うっ血の有無など、内臓の外観の評価を行います。2~3方向から撮影することによって多角的に異常を検出します。
心臓疾患による外観の異常は、たとえば咳の症状が見られた場合には肺や気管にも変化が見られるなど、心臓以外にも現れることがあります。胸部レントゲン検査はスクリーニング検査としても、診断の確度を上げる意味でも重要です。また、犬猫の心臓疾患は肺水腫や胸水を二次的に引き起こすことが多いため、その確認をする上でも有用となります。
※胸部レントゲン検査では臓器の内部構造は観察できませんので必要に応じて心エコー検査と併用します
正常心陰影(小型犬)
心拡大、肺水腫(小型犬)
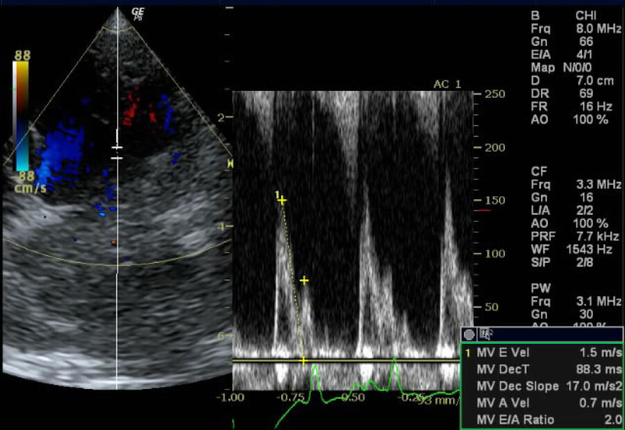
心エコー検査
超音波という“音”をあて、返ってくる反射波(エコー)を使って心臓を輪切りに画像化し、心臓の内部の状態を観察する検査です。動物の体への負担もほぼなく(*)、動き続ける心臓の様子をリアルタイムで観察できることから、心機能検査の中で最も重要な検査と言えます。
異常が起こっている箇所の血流の状況確認(逆流、狭窄、短絡など)や、正常もしくは異常な血流速度の計測、心筋の厚さの計測、心臓内圧の推測などを行います。心臓内に異常構造物を発見した場合はその形状なども詳しく探査します。
検出感度が高い検査であるため病変部を特定することが可能であり、重症度の判定や投薬の必要性の有無など、様々な判断場面で役立つ検査です。
*超音波プローブを体にあてる際、超音波が体毛に遮られて心臓に届きにくい場合には、部分的に毛刈りをさせていただく場合があります。
よくある症例
犬と猫の心臓病でよく見られる、代表的な症例をそれぞれピックアップしてご紹介します。
の心疾患
僧帽弁閉鎖不全症 もしくは僧帽弁逆流症 (MR:Mitral Regurgitation)
犬の心疾患として、動物病院で最も多く遭遇します。
僧帽弁は左心房と左心室の間にある弁で、血液を一定方向に流すために働きます。何らかの原因で変性を起こすと、弁がしっかりと閉じなくなり、血液の逆流が発生します。アメリカ獣医内科学会(ACVIM)では、本疾患の重症度を以下の様に分類しています。
ステージA
現時点で問題となる異常は認めないが、将来的に心疾患の進行リスクが高い動物。
(小型犬全般、キャバリアなど)
ステージB1
心雑音は聴取されるが、X線もしくは心エコー上、心拡大や房室拡張など明らかな異常を認めない。
ステージB2
心雑音が聴取され、X線による心拡大、および心エコーによる明らかな血行動態の異常(逆流)を伴う。
ステージC
過去あるいは現時点で、構造的心疾患による心不全の臨床徴候が認められている。
ステージD
標準的な心不全の治療では効果が乏しく、慢性心臓弁膜症による末期的な心不全徴候が認められる。
  • 原因
    多くは加齢によるものです。弁自体や弁を支える組織が加齢とともに異常を起こすことが原因となります。先天的なケース、他の心疾患から二次的に発生するケースもあります。
  • 好発犬種
    小型犬全般〜特にマルチーズ、シーズー、チワワ、ポメラニアンなど
    中型犬〜柴犬、キャバリア・キングチャールズ・スパニエル
  • 臨床徴候
    初期は無徴候ですので、動物病院で心雑音を指摘され、発見に到る場合がほとんどです。
    病状が進行すると咳、運動不耐(疲れ易さ)などが認められるようになります。重症化すると呼吸困難、肺水腫などの心不全徴候を起こすようになり、非常に危険です。
  • 治療
    内科、外科、両方の選択肢があります。内科的な治療は、疾患の進行に伴い、心臓の負担を軽減することが主目的です。初期は血管拡張薬を用いる のが一般的で、心不全が進行すると強心薬、利尿薬などを併用します。上述のステージCとDでは、重症化によって、お薬の種類が増えるため、服用が難しい子 にはデメリットとなります。
    外科的な治療は、一部の大学病院など二次診療施設で行われています。手術の成果によっては大幅な軽症化が期待できます。実施施設が限られること、手術費用が高額であることなどがデメリットです。
拡張型心筋症 (DCM:Dilated Cardiomyopathy)
大型犬の心疾患において比較的多く認められます。
うっ血性心不全を伴う心室の拡張、心筋の収縮力および拡張力の低下が特徴です。
雌雄差では、男の子に多く発生する傾向があります。
  • 原因
    個体ごとの原因を追究することは非常に困難とされています。
    一般的に考えられている原因として、遺伝、栄養欠乏、代謝や免疫の異常、感染、中毒などが挙げられます。人では20~40%が遺伝性とされ、犬の場合も一部は遺伝性として考えられています。
  • 好発犬種
    大型犬全般〜アイリッシュ・ウルフハウンド、ドーベルマン・ピンシャー、ニューファンドランド、グレート・デーン、エアデール・テリア、ポーチュギーズ・ウォータードッグなど
    中型犬〜アメリカンおよびイングリッシュ・コッカー・スパニエルなど
  • 臨床徴候
    初期は無徴候で経過します。左心室機能の低下に伴い、咳や運動不耐、呼吸困難、肺水腫などが起こります。心不全の重症化や不整脈を伴う場合、死亡率が非常に高くなります。
  • 治療
    血管拡張薬、利尿薬、強心薬などを用いて内科的に治療を行います。不整脈が認められる場合、抗不整脈薬を用いることもあります。
    コッカー・スパニエルなどでは必須アミノ酸であるタウリンの欠乏が疾病発生に深く関わることが報告されており、これを内服薬として使用します。
の心疾患
肥大型心筋症 (HCM:Hypertropied Cardiomyopathy )
猫の心疾患として、臨床的に最も多く遭遇します。
左心室心筋が内側に向かって厚くなることが特徴です。
心臓自体の大きさの変化は少なく、臨床徴候も乏しいため、通常の健康診断では発見が困難です。心筋肥大の場所により、『通常の肥大型心筋症』と『閉塞性肥大型心筋症( HOCM )』に分類されます。
また、肥大型心筋症の中には、厚くなった心筋が徐々に疲弊し、心臓拡大や収縮力低下を起こすこともあります。拡張型心筋症に類似した病態を辿るため、『肥大型心筋症の拡張相』と呼ばれています。
  • 原因
    一部の品種では遺伝であることが発見されています。ただし、日常的に遭遇するのはミックス種であることが多く、疾病発生の原因について遺伝的な可能性が推測されていますが、多くは明らかになっていません。
  • 好発猫種 発生年齢 雌雄差など
    メインクーン(常染色体優性遺伝)、アメリカン・ショートヘア、ラグドール(遺伝性:家族内発生)、ペルシャ、ブリティッシュ・ショートヘア、スコティッシュ・フォールドなど
    HCMの約8割はオス猫に認められ、平均発症年齢は5~7歳です。しかし、実際の発症年齢は3ヶ月齢~17歳と幅が広く、メインクーンでは幼若齢での発生報告が多いようです。
  • 臨床徴候
    初期は無徴候です。病状が進行すると、頻脈、食欲減退、活力低下、呼吸困難などを認めることもあります。病態の進行に伴い、不整脈などが発生すると失神や突然死を起こすこともあります。
    HCMの16~18%に動脈血栓塞栓症が発生すると報告されています。血栓が詰まる場所により、前肢や後肢の麻痺・痛み、内臓の梗塞などが起こります。脳梗塞を伴う場合、失神や突然死を起こすこともあります。
  • 治療
    通常のHCMの場合
    心筋の拡張力を高め、心拍出量を増やし、心拍数を正常レベルまで低下させるため、カルシウムチャネル遮断薬、ベータ遮断薬などを用います。
    閉塞性HCM( HOCM )の場合
    カルシウムチャネル遮断薬は禁忌とされ、ベータ遮断薬を主に使用します。
    拡張相HCM の場合
    弱まった収縮力を増強させるため、上記の2剤を用いずに強心薬を使用します。
    それぞれの病態により利尿薬、血管拡張薬などを用いることもあります。
    超音波検査(心エコー)による病型の特定が非常に重要です。
HCMによる胸水
HCMによる肺水腫
犬猫の先天性心疾患
動脈管開存症 (PDA:Patent Ductus Arteriosus)
胎子期に肺動脈と大動脈を繋ぐ動脈管が、出生後も残ってしまっている病気です。
左心室を出発した血流の一部が大動脈→動脈管→肺動脈→肺→左心系へと還流するため、左心系が常に血液量過多となります。
発見が早ければ、外科手術による完治が可能です。手術の方法としてコイル塞栓術、開胸下での血管結紮術の2種類があります。
正面像
側面像
大動脈狭窄症 (AS:Aortic Stenosis)
大動脈の一部が狭くなるため、血液が左心室から上手く全身に送り出せなくなります。大動脈弁の位置を基準とし、血管が狭くなる部位によって、弁下部、弁部、弁上部に分類され、犬では弁下部狭窄症が最も多いとされています。
大型犬で発見されることが多い病気ですが、小型・中型犬での発生も時折見られます。
通常はお薬の服用による内科的治療が選択されます。動きが鈍い、疲れ易いなどが認められ、失神することもあります。発見の遅れや、病態進行により重症化すると突然死を起こすことも報告されています。
正面像
側面像
肺動脈狭窄症 (PS:Pulmonary Stenosis)
肺動脈の一部が狭くなり、右心室から肺への血液循環が低下する病気です。
大動脈狭窄症と同様に肺動脈弁の位置を基準とし、狭くなる部位によって弁下部、弁部、弁上部に分かれます。
弁部での狭窄症の発生が最も多く報告されています。重症度に応じて治療を選択します。
一般的に、軽度~中程度のものは内科的管理、それ以上のものは二次診療施設での外科手術が適用されます。
心室中隔欠損症 (VSD:Ventricular Septal Defect)
右心室と左心室とを隔てる心室中隔の形成が不十分で、両室間に“孔”が開いている状態です。孔が小さければ自然に閉じることもありますが、そうでない場合は状況に応じて治療が必要となります。
病状にもよりますが、内科的治療、二次診療施設での外科手術と言った選択が可能です。
循環器Q&A
準備中